Zahnimplantate in Ungarn – ab 600 €, alles inklusive

Deutsche Implantatmarke (Bredent Sky). Eigenes zahntechnisches Labor in der Klinik. Sofortimplantation möglich – Sie kommen mit einem Zahn und gehen mit einem Zahn.

So viel sparen Sie
mit einem Implantat in Ungarn

Mit den All-inclusive-Paketen der Vita Clinic können Sie im Vergleich zu den Preisen zu Hause sogar eine beträchtliche Summe sparen. Der Preis umfasst alle wichtigen Behandlungen, sodass keine versteckten Gebühren oder unerwarteten Kosten anfallen – Sie erhalten genau das, was wir im Voraus vereinbaren.
Durchschnittspreis vor Ort
Deutschland
Implantat (komplett)
2 800 €
Marktüblicher Preis
Nicht alles inklusive
Vita Clinic
Vita Clinic
Implantat (komplett)
Regulärer Preis: 800 €
ab 600 €
All-inclusive-Preis
Alles ist enthalten
Ihre Ersparnis pro Zahnimplantat
bis zu 2.200 €
↓ 79% günstiger
Was ist im All-inclusive-Preis enthalten?
Bredent Sky Implantat
Aufbau + Porzellankrone
CT-Untersuchung
Anästhesie
Smile Design
Keine versteckten Kosten – Sie zahlen genau das, was Sie sehen.

Vom Implantat bis zur Krone – alles unter einem Dach

Unser eigenes zahntechnisches Labor befindet sich direkt im Gebäude der Klinik. Ihre Krone wird von unseren Zahntechnikern vor Ort gefertigt – sie wird nicht in ein externes Labor ausgelagert.

Sichere, transparente und planbare Behandlung

Mit der Erfahrung aus Tausenden erfolgreichen Behandlungen arbeiten wir mit modernster Technologie und transparenten Preisen. Bei uns wird jeder Schritt im Voraus abgestimmt, sodass es keine Überraschungen gibt.

20.000+
Implantate

Langjährige Erfahrung und bewährte Behandlungskonzepte für zuverlässige Ergebnisse.

<1 % Komplikationsrate

Signifikant unter dem Branchendurchschnitt – für höchste Sicherheit bei jeder Behandlung.

5+ Jahre
Garantie

Langfristige Sicherheit und planbare Ergebnisse bei jeder Behandlung.

All-inclusive
Paket

Alle notwendigen Behandlungen in einem Paket - ohne versteckte Kosten.

Zahnimplantat Schritt für Schritt

Vom ersten Schritt bis zum Endergebnis begleiten wir Sie umfassend. Die Behandlungen sind gut organisiert, sodass der gesamte Ablauf komfortabel und planbar ist.

1

Kostenlose Voruntersuchung

Kostenlose CT-Untersuchung und Diagnostik

2

Implantation

Einsetzen eines Bredent Sky Titanimplantats

3

Sofortversorgung

Provisorische Krone noch am selben Tag (bei Sofortimplantation)

4

Endversorgung

Endgültige Krone aus unserem eigenen Labor, perfekt angepasst

Aufbau eines Implantats
im Überblick

Transparente Preise, ohne versteckte Kosten

Alle notwendigen Behandlungen in einem Paket, zu einem vereinbarten Preis. Keine zusätzlichen Gebühren oder unangenehmen Überraschungen.

All-inclusive Paketpreis

Alles im Preis inbegriffen – keine Überraschungen

ab 600 €

Regulärer Preis: 800 €

Garantie: 5+ Jahre

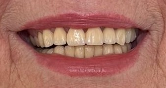
Ihr neues Lächeln beginnt hier

Vom ersten Eindruck bis zum endgültigen Ergebnis bieten Zahnimplantate eine natürliche Ästhetik, einen festen Halt und ein rundum sicheres Gefühl.
Vorher Später
Vorher Später
Vorher Später

Ihr Weg zum Zahnimplantat

Die Implantatbehandlung ist schnell und gut planbar. In den meisten Fällen sind nur zwei Besuche erforderlich, und die Heilungsphase können Sie bequem zu Hause verbringen.
1
Vorbereitung
Online-Beratung
Röntgenbild oder CT senden. Behandlungsplan + exakter Preis innerhalb von 24–48 Stunden.
Von zu Hause 24–48 Stunden
1
2
1. Besuch
Implantation
Sofortversorgung. Unterkunft im Apartment der Klinik. 1–3 Tage.
1–3 Tage Wohnung inklusive
2
3
Heilungsphase
Heilungszeit
3–6 Monate zu Hause. Telefonisch und per WhatsApp jederzeit erreichbar.
3–6 Monate WhatsApp
3
4
2. Besuch
Endgültige Krone
Endgültige Krone aus unserem eigenen Labor. 1–2 Tage. Fertig.
1–2 Tage Eigenes Labor
4

Wir organisieren alles – Sie müssen nur ankommen

Wir sorgen dafür, dass Ihre Behandlung keinen organisatorischen Aufwand für Sie bedeutet. Unterkunft im Klinikgebäude, eine leicht erreichbare Lage und auf Wunsch ein Flughafentransfer – damit Sie sich ganz auf den Eingriff und Ihre Erholung konzentrieren können.

Apartment im Klinikgebäude

Komfortables, modernes Apartment direkt in der Klinik. Kein Reisen, kein Stress – alles ist nur wenige Schritte entfernt.

Einfach
Anreise

Wir unterstützen Sie bei der Reiseplanung – mit schneller Terminvergabe und flexiblen Möglichkeiten, auch am Wochenende.

Flughafentransfer
auf Wunsch

Auf Wunsch organisieren wir auch einen Flughafentransfer, damit Ihre An- und Abreise bequem und mit minimalem Aufwand erfolgt.

Echte Erfahrungen, echte Ergebnisse

Bevor Sie sich entscheiden, möchten Sie sicher sein, die richtige Wahl zu treffen. Genau dabei helfen Ihnen die authentischen Erfahrungen unserer Patienten. Sie geben Ihnen einen transparenten Einblick in den gesamten Ablauf – von der ersten Beratung bis hin zur vollständigen Genesung.

Google reviews

4,9 von 5 Sternen

Kundenbewertungen

Das Team, das
für Ihr Lächeln arbeitet

Sie können nicht nur fachliche Kompetenz erwarten, sondern auch Aufmerksamkeit, Teamwork und persönliche Betreuung in jeder Phase Ihrer Behandlung. Unser Team arbeitet Hand in Hand, um Ihnen die bestmögliche Versorgung zu bieten.

Unsere Klinik und unser Labor

Wartebereich

Behandlungsraum

Labor

Apartment

Häufig gestellte Fragen

Hier finden Sie die wichtigsten Informationen rund um die Behandlung – kompakt und verständlich beantwortet.

2 Termine:

  1. Implantation + Sofortversorgung (1–3 Tage)
  2. Heilungsphase zu Hause (3–6 Monate)
  3. Endgültige Krone (1–2 Tage)

Bei einem Sofortimplantat erfolgen das Einsetzen des Implantats und der provisorischen Krone in nur einer Sitzung – Sie verlassen die Klinik nicht ohne Zahn.

Wir bieten Ihnen 5+ Jahre Garantie auf Ihr Implantat.

Ja – innerhalb der EU haben Sie Anspruch auf die gleiche Kostenübernahme wie im Heimatland. Wir erstellen den Heil- und Kostenplan und helfen Ihnen bei der Einreichung.

 

Wir verwenden Bredent Sky – eine hochwertige deutsche Implantatmarke.
Wir sind jederzeit für Sie erreichbar – telefonisch und per WhatsApp. Dank unserer Erfahrung aus über 20.000 Implantationen und einer Komplikationsrate von unter 1 % können Sie sich auf maximale Sicherheit verlassen.

Ja – schicken Sie uns Ihren aktuellen Kostenvoranschlag, und wir erstellen für Sie ein unverbindliches und kostenloses Gegenangebot.

 

Öffnungszeiten

Montag

Geschlossen

Dienstag

09:00 – 17:00

Mittwoch

Geschlossen

Donnerstag

09:00 – 17:00

Freitag

09:00 – 17:00

Samstag

09:00 – 17:00

Sonntag

Geschlossen
Fordern Sie jetzt Ihr kostenlose Beratung an
Individueller Behandlungsplan + exakte Preise innerhalb von 24 Stunden.